From the Blog
Insights and stories from my research and experiences.

October 15, 2025
Sleep Deprivation Triggers Neuronal Self-Destruction: The Hidden Crisis Within Our Minds
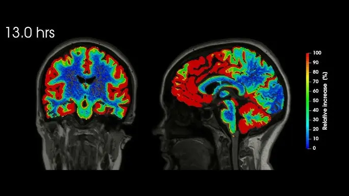
Sleep functions as the brain's essential restorative mechanism, orchestrating complex biochemical processes that maintain neural integrity and cognitive performance. However, when this critical biological imperative is chronically neglected, the consequences extend far beyond mere fatigue—triggering irreversible neurological damage through a process scientists describe as autophagy dysregulation and microglial hyperactivation.

October 14, 2025
Future of AI in IT Project Management
Artificial Intelligence is revolutionizing virtually every aspect of business operations, and IT project management is no exception. As organizations grapple with increasingly complex projects, tighter deadlines, and resource constraints, AI-powered tools are emerging as essential catalysts for transforming how teams plan, execute, and deliver IT initiatives.

October 14, 2025
Technology Decentralized Business Intelligence: A Critical Review of Blockchain’s Impact on Financial Data Integrity and Predictive Analytics
In an era where data drives strategic decisions, maintaining the accuracy and integrity of financial information is paramount. Traditional centralized systems often struggle with delays, human error, and susceptibility to manipulation. This is where blockchain technology, a decentralized ledger system, enters the conversation. By redefining how data is recorded, verified, and shared, blockchain promises to transform business intelligence, particularly in the financial sector.